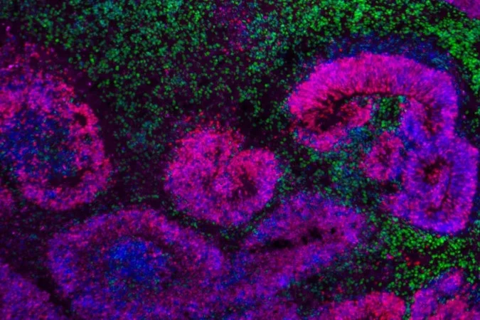
Pesquisadores deram um passo histórico na compreensão de como o cérebro de mamíferos se forma e se diferencia ao longo do desenvolvimento. Uma série de cinco estudos publicados recentemente na revista Nature apresenta os mapas mais detalhados até hoje sobre a transformação de células-tronco em diferentes tipos de células cerebrais durante o desenvolvimento embrionário e nos primeiros estágios de vida.
A pesquisa acompanhou centenas de milhares de células cerebrais iniciais nos córtices de humanos e camundongos, oferecendo uma visão sem precedentes da complexa orquestração molecular que dá origem aos neurônios e às células de suporte.
Hongkui Zeng, vice-presidente executiva do Allen Institute for Brain Science e coautora de dois dos artigos, descreveu o trabalho como “o rascunho inicial de um atlas celular do cérebro em desenvolvimento”. Segundo ela, os novos dados permitirão aos cientistas identificar genes essenciais em momentos específicos da formação cerebral.
Entre as descobertas, destacam-se aspectos únicos do cérebro humano — como o processo prolongado de diferenciação das células corticais, resultado do longo período de maturação cerebral, que se estende do feto até a adolescência. Os pesquisadores também identificaram novos tipos de células no neocórtex e na região do estriado, áreas relacionadas ao movimento e a outras funções cognitivas.
A expectativa é que os novos atlas sirvam de base para pesquisas sobre condições neurológicas como autismo e esquizofrenia. “Agora podemos explorar esses dados para entender os mecanismos genéticos por trás de doenças específicas”, afirmou Zeng. O neurocientista Zoltán Molnár, da Universidade de Oxford, classificou os resultados como “muito empolgantes”.
O trabalho integra a Rede de Atlas Celular da Iniciativa BRAIN (BICAN), lançada em 2022 pelos Institutos Nacionais de Saúde dos Estados Unidos (NIH). O projeto conta com um investimento de US$ 500 milhões e tem como meta construir mapas de referência completos dos cérebros de mamíferos.
Por Revista Plano B
Fonte Correio Braziliense
Foto: Nano et al./Nature Neurosci.; Jose Soto/Bhaduri Lab/UCLA

